USG 4D
Na czym polega badanie prenatalne w I trymestrze?
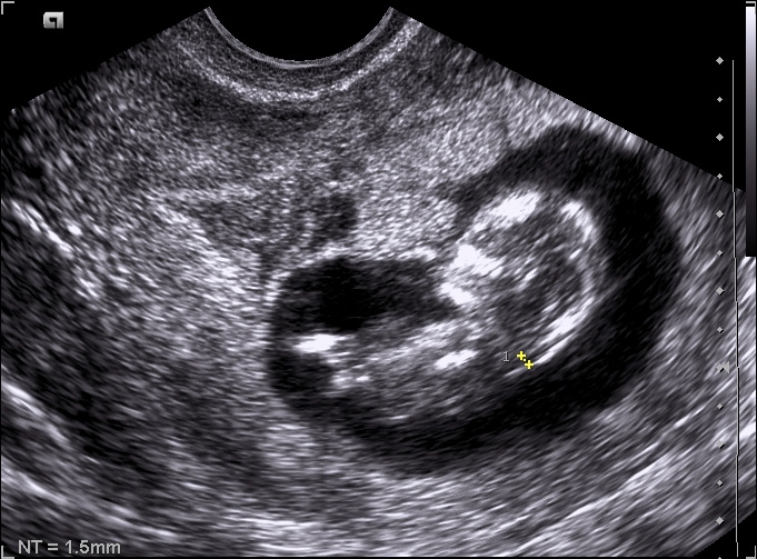
  	USG  11-14  tygodni
 
 
  
 
Jest to  kilka badań skojarzonych ze sobą, które pozwalają na potwierdzenie lub  wykluczenie dużych wad płodu, ocenę ryzyka wystąpienia aberracji  chromosomalnych, a także ocenę kariotypu płodu. Do badań tych należy:  ultrasonografia, badanie biochemiczne (free ß-HCG, PAPP-A), badanie inwazyjne  (biopsja trofoblastu, amniopunkcja).
  
Optymalny wiek ciążowy dla pierwszego badania prenatalnego zawiera się między 11-13+6 tygodniem ciąży, długość ciemieniowo-siedzeniowa (CRL) musi się mieścić między 45 a 84 mm. Poza stwierdzeniem ciąży żywej, można określić jej dokładny wiek, stwierdzenie obecności dużych wad płodu, a w ciąży mnogiej ocena ilości płodów, kosmówkowości.
  
Dodatkowo ocena i pomiar markerów I trymestru pozwala na ocenę ryzyka aberracji chromosomalnych.
Do markerów tych należy: przezierność karkowa, kość nosowa, przepływ w przewodzie żylnym, zastawka trójdzielna, kąt szczękowo - twarzowy.
USG 18-22 tygodni
  	
  Optymalny wiek ciążowy dla pierwszego badania prenatalnego zawiera się między 11-13+6 tygodniem ciąży, długość ciemieniowo-siedzeniowa (CRL) musi się mieścić między 45 a 84 mm. Poza stwierdzeniem ciąży żywej, można określić jej dokładny wiek, stwierdzenie obecności dużych wad płodu, a w ciąży mnogiej ocena ilości płodów, kosmówkowości.
Dodatkowo ocena i pomiar markerów I trymestru pozwala na ocenę ryzyka aberracji chromosomalnych.
Do markerów tych należy: przezierność karkowa, kość nosowa, przepływ w przewodzie żylnym, zastawka trójdzielna, kąt szczękowo - twarzowy.
USG 18-22 tygodni
Badanie prenatalne w II trymestrze
  	Głównym  celem badania w połowie ciąży jest wykrycie anomalii rozwojowych. Podczas  badania USG bardzo dokładnie zostanie oceniony płód, od czubka głowy, po stopy.
Ma to na celu szczegółową ocenę anatomii, położenia płodu, jego wzrastanie oraz ocena pępowiny, łożyska a także objętości wód płodowych.
  
Standardowo badanie w 20 tygodniu ciąży wykonywane jest w technice 2D. Jest to aktualnie metoda najdokładniejsza w wykrywaniu ewentualnych anomalii. Dodatkowo można wykonać badanie w technice 3D i 4D, co pozwala na trójwymiarową wizualizację płodu.
  
Badanie w drugim trymestrze trwa od 10 do 40 minut. Najczęściej pozwala na dokładną ocenę anatomii. Czasami warunki badania nie pozwalają na szczegółowe obejrzenie niektórych szczegółów anatomicznych. Niekorzystne położenie, zbyt duża ruchliwość płodu lub otyłość ciężarnej. W takiej sytuacji może zaistnieć konieczność powtórzenia badania.
  
Większość badań USG nie wykazuje żadnych zmian i potwierdza, że dziecko rozwija się normalnie. Większość dzieci jest zdrowa. Nie zawsze badanie USG z całą pewnością potwierdzi lub wykluczy obecność jakiegoś problemu. Nie każda wada może zostać wychwycona przez badanie USG w połowie ciąży. Oznacza to, że w niewielkiej liczbie przypadków dzieci rodzą się
z anomaliami, chociaż obraz USG był prawidłowy. Poważne anomalie dziecka, na przykład przepuklina pępkowa są zazwyczaj wyraźnie widoczne na obrazie ultrasonograficznym. Badania USG nie są wystarczająco miarodajne w przypadku wykrywania niektórych wad serca. Niektóre drobne problemy mogą oznaczać konieczność dalszej opieki i kontroli po narodzinach dziecka.
W przypadku podejrzenia lub wykrycia wady konieczna może być konsultacja genetyczna i kolejne badania,
np. amniopunkcja (pobranie płynu owodniowego do badań genetycznych).
  
Jeżeli zostanie potwierdzone wykrycie anomalii, to w zależności od jej rodzaju może być konieczne jej monitorowanie w kolejnych badaniach USG (niektóre wady ustępują w trakcie ciąży). W nielicznych przypadkach można leczyć wady operacyjnie wewnątrzłonowo. Wreszcie, co najważniejsze wykrycie wady pozwala na zaplanowanie porodu w ośrodku klinicznym i wczesne zaplanowanie leczenia noworodka tuż po porodzie
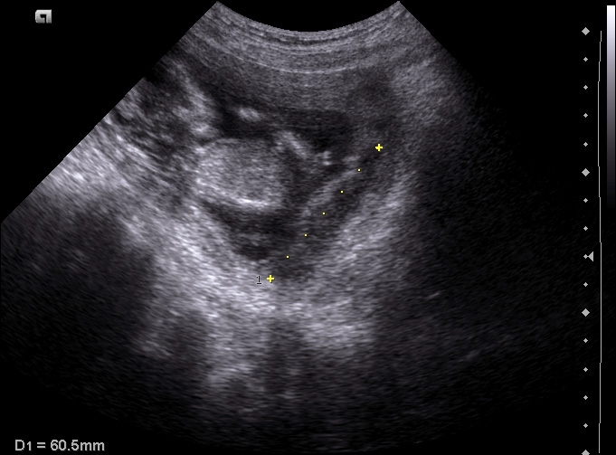
USG 28-32 tygodnie
 
 
  
 
Ma to na celu szczegółową ocenę anatomii, położenia płodu, jego wzrastanie oraz ocena pępowiny, łożyska a także objętości wód płodowych.
Standardowo badanie w 20 tygodniu ciąży wykonywane jest w technice 2D. Jest to aktualnie metoda najdokładniejsza w wykrywaniu ewentualnych anomalii. Dodatkowo można wykonać badanie w technice 3D i 4D, co pozwala na trójwymiarową wizualizację płodu.
Badanie w drugim trymestrze trwa od 10 do 40 minut. Najczęściej pozwala na dokładną ocenę anatomii. Czasami warunki badania nie pozwalają na szczegółowe obejrzenie niektórych szczegółów anatomicznych. Niekorzystne położenie, zbyt duża ruchliwość płodu lub otyłość ciężarnej. W takiej sytuacji może zaistnieć konieczność powtórzenia badania.
Większość badań USG nie wykazuje żadnych zmian i potwierdza, że dziecko rozwija się normalnie. Większość dzieci jest zdrowa. Nie zawsze badanie USG z całą pewnością potwierdzi lub wykluczy obecność jakiegoś problemu. Nie każda wada może zostać wychwycona przez badanie USG w połowie ciąży. Oznacza to, że w niewielkiej liczbie przypadków dzieci rodzą się
z anomaliami, chociaż obraz USG był prawidłowy. Poważne anomalie dziecka, na przykład przepuklina pępkowa są zazwyczaj wyraźnie widoczne na obrazie ultrasonograficznym. Badania USG nie są wystarczająco miarodajne w przypadku wykrywania niektórych wad serca. Niektóre drobne problemy mogą oznaczać konieczność dalszej opieki i kontroli po narodzinach dziecka.
W przypadku podejrzenia lub wykrycia wady konieczna może być konsultacja genetyczna i kolejne badania,
np. amniopunkcja (pobranie płynu owodniowego do badań genetycznych).
Jeżeli zostanie potwierdzone wykrycie anomalii, to w zależności od jej rodzaju może być konieczne jej monitorowanie w kolejnych badaniach USG (niektóre wady ustępują w trakcie ciąży). W nielicznych przypadkach można leczyć wady operacyjnie wewnątrzłonowo. Wreszcie, co najważniejsze wykrycie wady pozwala na zaplanowanie porodu w ośrodku klinicznym i wczesne zaplanowanie leczenia noworodka tuż po porodzie
USG 28-32 tygodnie
Badanie prenatalne w III trymestrze
  	Głównym celem badania w III  trymestrze ciąży jest ocena wzrastania płodu, ocena położenia, ilości wód  płodowych, ocena łożyska. W niektórych przypadkach wykonuje się także badanie  dopplerowskie naczyń tętniczych płodu (tętnica środkowa mózgu, tętnica  pępowinowa).
  
USG w 30 tygodniu ciąży pozwala na obserwację ewentualnych anomalii wykrytych wcześniej. Można ocenić ich progresję lub regresję.
  
Na tym etapie ciąży szczególnie ciekawe jest badanie w technice trójwymiarowej. Jeżeli tylko warunki techniczne badania są odpowiednie (położenie płodu, odpowiednia ilość wód płodowych), można bardzo dokładnie uwidocznić zarys twarzy płodu, kończyny, płeć. USG ginekologiczne W naszej poradni przeprowadzamy w pełnym zakresie badania USG narządu rodnego, zarówno przezbrzuszne, jak i przezpochwowe.
  
W ramach USG ginekologicznego oceniamy:
 
 
  
 
USG w 30 tygodniu ciąży pozwala na obserwację ewentualnych anomalii wykrytych wcześniej. Można ocenić ich progresję lub regresję.
Na tym etapie ciąży szczególnie ciekawe jest badanie w technice trójwymiarowej. Jeżeli tylko warunki techniczne badania są odpowiednie (położenie płodu, odpowiednia ilość wód płodowych), można bardzo dokładnie uwidocznić zarys twarzy płodu, kończyny, płeć. USG ginekologiczne W naszej poradni przeprowadzamy w pełnym zakresie badania USG narządu rodnego, zarówno przezbrzuszne, jak i przezpochwowe.
W ramach USG ginekologicznego oceniamy:
- Anatomię narządu rodnego
- Zmiany patologiczne w macicy, przydatkach, miednicy małej
- Jajeczkowanie





